
| Todo natural - hecha de yerbas |
CONSULTA GRATIS por cita |
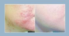
| SEGURO POR TODO CLASE DE PIELES Rejuveneciendo la piel en 5 días. Reduce:
|

| Gift Certificates Available |
| SPA & SKIN CARE CLINIC Jackson Heights, NY 718-791-8323 www.mdcnyskin.com por cita |








| Licenciada en el Estado de NY |