
| All natural - made from HERBS, not chemicals |
| FREE CONSULTATION by APPOINTMENT |
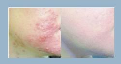
| SAFE FOR ALL SKIN TYPES Skin resurfacing and rejuvenation. Minimize: fine lines and wrinkles, dull or oily skin, hyperpigmentation, scars and blemishes. |
| Gift Certificates Available |


| SPA & SKIN CARE CLINIC Jackson Heights, NY 718-791-8323 www.mdcnyskin.com by appointment |







| NY State Licensed |